Chat Zalo Zalo
Đặt lịch hẹn Записаться
Chat MessengerMessenger
Chat MessengerWhatsapp

Почему курильщики легко страдают от выпадения зубов и воспаления дёсен? – Решения от специалистов Da Nang Implant Dental Clinic

Автор: admin
Ngày: 18/11/2025
Đánh giá

Курение не только вредит лёгким и сердечно-сосудистой системе, но и ежедневно незаметно разрушает наши зубы и дёсны. Многие люди, которые курят долгие годы, не осознают, что имеют гораздо более высокий риск воспаления дёсен, потери костной ткани и выпадения зубов по сравнению с обычными людьми – до тех пор, пока зубы не начинают шататься, болеть или фактически не выпадают.

На самом деле повреждения, вызываемые табаком в полости рта, происходят очень скрытно, без выраженной боли, что приводит к позднему обнаружению и лечению. Это влияет не только на эстетику и способность пережёвывать пищу, но и увеличивает стоимость восстановления зубов в будущем, особенно для тех, кто нуждается в лечении пародонта или установке имплантов.

В этой статье Da Nang Implant Dental Clinic поможет вам понять, почему курильщики легко сталкиваются с выпадением зубов и воспалением дёсен, как происходит повреждение и какие решения являются наиболее эффективными для защиты и восстановления здоровья полости рта.

1. Как табак влияет на дёсны и зубы?

Сигаретный дым содержит более 7 000 химических веществ, включая никотин, смолу, угарный газ… Эти вещества напрямую влияют на:

  • Снижение притока крови к дёснам, из-за чего дёсны слабеют и плохо восстанавливаются.
  • Ослабление иммунитета в области дёсен, что позволяет бактериям легко атаковать и вызывать воспаление.
  • Снижение способности костной ткани челюсти к регенерации, что приводит к потере опоры зубов, их расшатыванию и лёгкому выпадению.
  • Снижение количества слюны, создающее благоприятную среду для размножения бактерий, вызывающих кариес и неприятный запах изо рта.

Результат: гингивит, пародонтит, ранняя потеря зубов и большее накопление зубного камня.

Почему курильщики легко страдают от выпадения зубов и воспаления дёсен? – Решения от специалистов Da Nang Implant Dental Clinic

2. Риск выпадения зубов у курильщиков

Стоматологические исследования показывают:

  • Долгосрочные курильщики чаще сталкиваются с ранним выпадением зубов.
  • Резорбция костной ткани челюсти приводит к расшатыванию зубов и затрудняет восстановление, если не вмешаться вовремя.
  • Риск неудачной установки имплантов также выше, поскольку кость и дёсны недостаточно здоровы.

Многие относятся к этому беспечно, потому что не ощущают боли, но на самом деле потеря кости и воспаление дёсен развиваются скрытно и обнаруживаются только тогда, когда зубы начинают шататься.

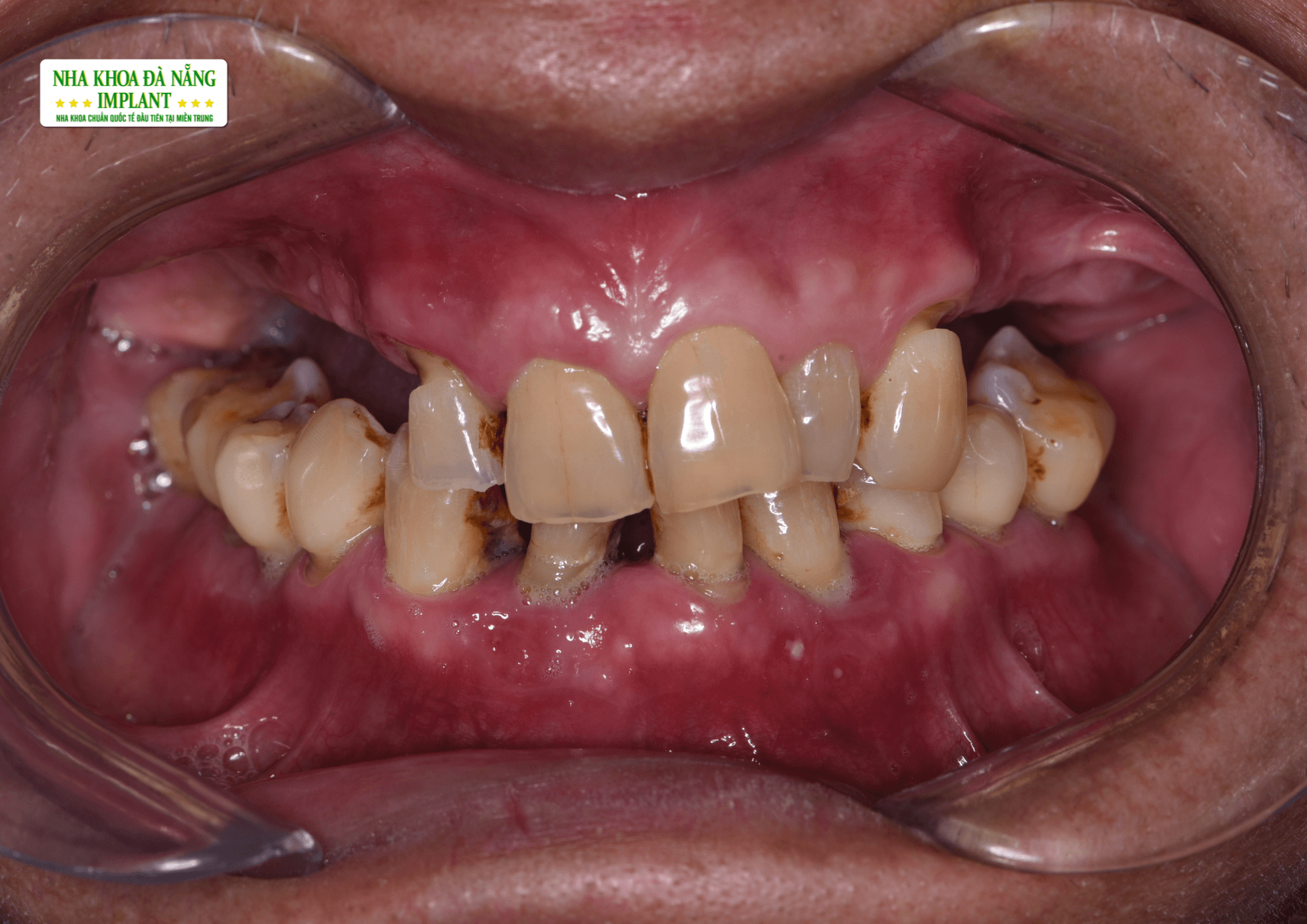
Курение вызывает выпадение зубов, пожелтение и неприятный запах изо рта.

Курение вызывает выпадение зубов, пожелтение и неприятный запах изо рта

3. Гингивит – ранний предупредительный сигнал

У курильщиков часто наблюдаются покраснение, отёк и кровоточивость дёсен, но при этом почти нет боли, что приводит к скрытому течению гингивита. Предупреждающие признаки:

  • Отёкшие, красные дёсны, которые легко кровоточат при чистке зубов или использовании нити.
  • Постоянный неприятный запах изо рта.
  • Шаткость зубов или их смещение.
  • Толстый налёт зубного камня жёлтого или коричневого цвета.
  • Боль при жевании, трудности при еде.

Если не лечить, гингивит перейдёт в пародонтит, разрушит костную ткань, поддерживающую зубы, и приведёт к полной потере зубов.

4. Долгосрочные последствия при отсутствии лечения

Курильщики, которые позволяют гингивиту длиться долго, могут столкнуться с:

  • Потерей зубов: Это влияет не только на эстетику, но и затрудняет жевание, ухудшает пищеварение и серьёзно влияет на общее здоровье.
  • Серьёзной резорбцией костной ткани челюсти: Восстановление с помощью имплантов становится сложнее и дороже.
  • Изменением структуры лица: Потеря зубов, уменьшение объёма костной ткани челюсти, впавшие щёки, более старый внешний вид.
  • Повышенным риском системных заболеваний: Гингивит связан с сердечно-сосудистыми заболеваниями, диабетом и пневмонией.
Как курение влияет на здоровье полости рта

Как курение влияет на здоровье полости рта

5. Решения для восстановления зубов у курильщиков

5.1 Бросить или сократить курение

  • Даже уменьшение количества выкуриваемых сигарет помогает улучшить кровообращение в дёснах и ускорить заживление.
  • Снижает риск неудачи при установке имплантов или реставрации коронками.
  • После установки импланта, если пациент начинает курить снова, имплант может быть отторгнут и повреждён при отсутствии тщательного ухода.

5.2 Профессиональный уход за полостью рта

  • Чистите зубы 2–3 раза в день мягкой зубной щёткой.
  • Используйте зубную нить и антибактериальный ополаскиватель, чтобы удалить зубной налёт.
  • Проводите профессиональную чистку каждые 6 месяцев, чтобы уменьшить количество бактерий и зубного камня.

Почему курильщики легко страдают от выпадения зубов и воспаления дёсен? – Решения от специалистов Da Nang Implant Dental Clinic

5.3 Регулярные стоматологические осмотры

  • Проверка зубов, дёсен и костной ткани челюсти.
  • Раннее выявление признаков гингивита, зубного камня, отёка дёсен, кровоточивости,…

Консультация по восстановлению зубов с помощью имплантов или керамических коронок, если зубы шатаются.

6. Da Nang Implant Dental Clinic – Безопасные решения для курильщиков

Курильщики часто сталкиваются с трудностями при восстановлении зубов, особенно при установке имплантов, из-за слабых дёсен и костной ткани челюсти. Da Nang Implant Dental Clinic — надёжная клиника, которая помогает:

  • Комплексная оценка состояния полости рта: Использование 3D CT Cone Beam для точного измерения челюстной кости, определения плотности и высоты кости перед установкой имплантов.
  • Точная установка имплантов: Технология X-Guide обеспечивает правильное положение, угол и глубину установки импланта, снижает травматичность, уменьшает боль и ускоряет заживление.
  • Максимальная эстетическая реставрация: Сочетание эстетических керамических реставраций и Digital Smile Design позволяет пациенту видеть результат заранее и обеспечивает естественную, гармоничную улыбку.
  • Уход и наблюдение после установки имплантов: Команда врачей Da Nang Implant Dental Clinic тщательно контролирует состояние зубов, дёсен и костной ткани, что особенно важно для курильщиков.

Преимущества: предотвращение потери зубов, улучшение жевательной функции, восстановление уверенности и здоровой улыбки — даже у людей, которые курят много лет.

Современное оборудование – технология международного стандарта

Современное оборудование – технология международного стандарта

Курение является одной из основных причин гингивита, потери костной ткани и выпадения зубов, но раннее обнаружение и своевременное восстановление помогут сохранить вашу улыбку и здоровье полости рта. В Da Nang Implant Dental Clinic мы не только точно оцениваем состояние зубов и дёсен, но и предоставляем безопасные и эстетичные решения по имплантации и реставрации керамическими коронками, помогая пациентам вернуть уверенность и здоровую улыбку.

Свяжитесь с Da Nang Implant Dental Clinic прямо сейчас для бесплатной консультации и составления плана восстановления зубов, особенно если вы курите или уже есть признаки гингивита или потери зубов.

Другие новости

Топ 6 лучших имплантологов в Дананге

Ngày: 20/04/2025

Имплантация — это сложная стоматологическая процедура, требующая высокой ...

Что такое металлические брекеты? Преимущества и недостатки.

Ngày: 20/04/2025

Металлические брекеты — это эффективный метод ортодонтического лечения, ...

Что такое имплантация зубов? Обновлённый прайс-лист.

Ngày: 20/04/2025

Имплантация зубов – ключевая услуга клиники Da Nang Implant В клинике Da Nang Implant ...

Приветствуем Великий праздник – Супервыгодные акции

Ngày: 19/04/2025

В честь празднования и приветствия Дня 30/4 – 1/5, стоматологическая клиника ...

6 этапов установки зубных имплантов от А до Я: сколько времени это занимает и сколько стоит?

Ngày: 19/05/2026

Узнайте подробно о процессе установки зубных имплантов: этапы имплантации, ...

7 ПРИЗНАКОВ ТОГО, ЧТО ВАМ НУЖНО ВОССТАНОВЛЕНИЕ ЗУБОВ КАК МОЖНО РАНЬШЕ, ЧТОБЫ НЕ ПЕРЕПЛАЧИВАТЬ НА 30–50% БОЛЬШЕ В БУДУЩЕМ

Ngày: 14/05/2026

Сколы зубов, потеря зубов, чувствительность или изменение цвета — это ...

Микроскоп MediWorks SM625D — новый шаг в современной эндодонтии в Da Nang Implant Dental Clinic

Ngày: 09/05/2026

Современное эндодонтическое лечение в Da Nang Implant Dental Clinic с использованием ...

Магистр Во Ань Дык – 10 лет Специалист по эндодонтии в Da Nang Implant Dental Clinic

Ngày: 08/05/2026

Современная эндодонтия в Da Nang Implant Dental Clinic с использованием микроскопа MediWorks ...