Chat Zalo Zalo
Đặt lịch hẹn Записаться
Chat MessengerMessenger
Chat MessengerWhatsapp

Почему необходимо полностью вылечить заболевания полости рта перед установкой зубных коронок?

Автор: admin
Ngày: 21/10/2025
Đánh giá

Керамические виниры сегодня — один из самых популярных эстетических методов в стоматологии Вьетнама. Этот способ не только улучшает цвет и форму зубов, но и защищает естественные зубы от внешних воздействий.

Однако для наилучшего результата необходимо полностью вылечить все заболевания полости рта перед установкой виниров. Это обязательный этап лечения и важный фактор, влияющий на прочность и качество коронок в будущем.

Почему необходимо полностью вылечить заболевания полости рта перед установкой зубных коронок?

Так почему же необходимо полностью вылечить заболевания полости рта перед установкой коронок? Давайте разберёмся вместе с Da Nang Implant Dental Clinic!

1. Распространённые заболевания полости рта, которые нужно вылечить перед установкой коронок

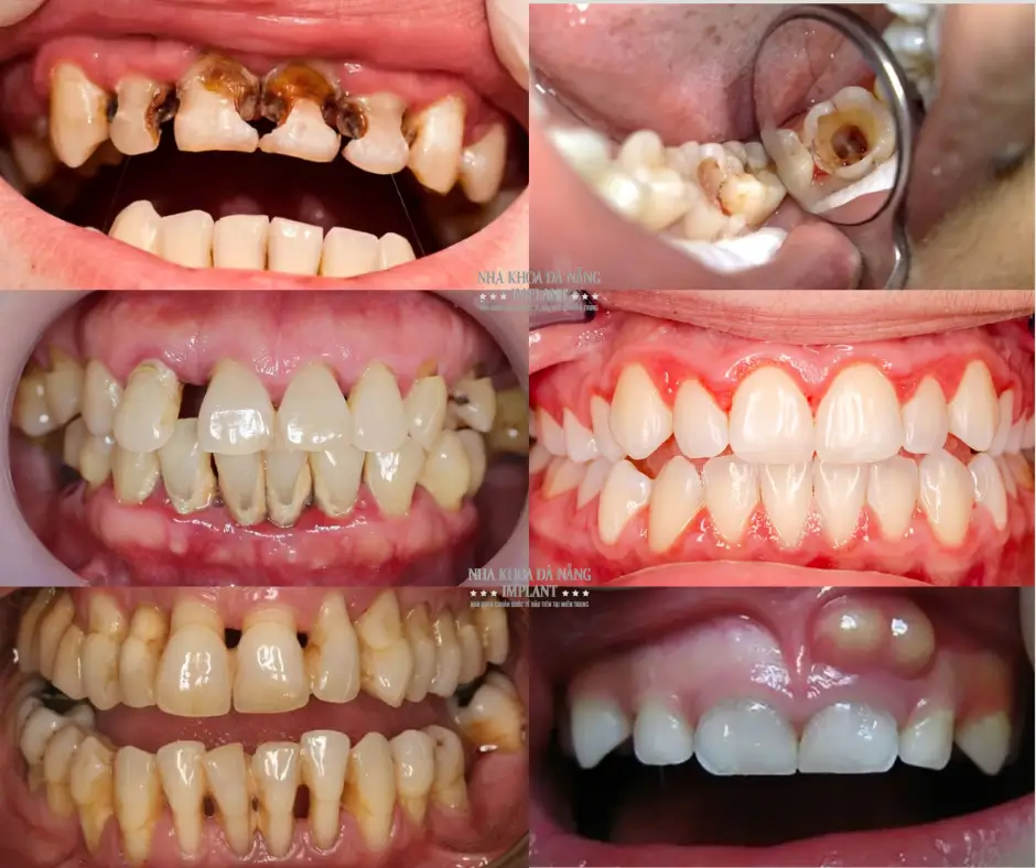
Перед установкой керамических коронок врач проводит полное обследование, чтобы определить наличие следующих проблем:

  • Кариес

  • Воспаление пульпы (пульпит)

  • Пародонтит

  • Гингивит

  • Рецессия дёсен, убыль костной ткани

  • Стирание эмали у шейки зуба, трещины или абсцессы

Заболевания полости рта

Заболевания полости рта

Если не лечить болезни полости рта полностью, они могут вызвать осложнения, повлиять на коронки и общее состояние полости рта.

2. Почему нужно лечить болезни перед установкой коронок?

Избежать инфекции под коронкой

Если кариес или пульпит не пролечены, бактерии продолжают развиваться под коронкой, вызывая боль и воспаление, что потребует снятия коронки и повторного лечения.

Обеспечить долговечность коронок

Коронка защищает зуб, но если сам зуб больной, она долго не прослужит. Полное лечение укрепляет зуб и продлевает срок службы до 10–20 лет.

Предотвратить воспаление десен

Невылеченный гингивит или пародонтит могут вызвать опускание десен и оголение края коронки, ухудшая внешний вид и жевательную функцию.

Почему необходимо полностью вылечить заболевания полости рта перед установкой зубных коронок?

Обеспечение прочного сцепления коронки

При воспалении зубов и десен зона приклеивания нестабильна, что снижает фиксацию коронки и может вызвать ее отклеивание или неровность.

3. Процесс осмотра и лечения в клинике Da Nang Implant Dental Clinic

В клинике Da Nang Implant мы проводим полный осмотр и лечение, чтобы обеспечить здоровье полости рта перед любыми эстетическими процедурами, особенно установкой коронок.

Шаг 1: Общий осмотр и оценка состояния полости рта

  • Врач осматривает всю полость рта, выявляет кариес, воспаление десен, рецессию, кровоточивость, трещины и стирание эмали.
  • Применяется цифровой рентген или 3D Cone Beam CT для точной оценки состояния пульпы, костной ткани и скрытых проблем.

Почему необходимо полностью вылечить заболевания полости рта перед установкой зубных коронок?

Шаг 2: Анализ и диагностика заболеваний полости рта

Врач анализирует клинические данные и рентген-снимки, чтобы определить:

  • Воспаление пульпы

  • Периапикальный абсцесс

  • Пародонтит

  • Резорбцию костной ткани

  • Глубокий кариес или перелом зуба

Почему необходимо полностью вылечить заболевания полости рта перед установкой зубных коронок?

На основе результатов врач составляет индивидуальный план лечения.

Шаг 3: Полное лечение заболеваний полости рта

В зависимости от состояния пациента применяются методы:

  • Лечение и пломбирование корневых каналов

  • Пломбирование кариозных или треснутых зубов

  • Лечение гингивита и пародонтита ультразвуком или лазером

  • Удаление зубного камня, полировка и дезинфекция полости рта

Почему необходимо полностью вылечить заболевания полости рта перед установкой зубных коронок?

Все процедуры выполняются опытными врачами с использованием современного оборудования в условиях строгой стерильности.

Шаг 4: Наблюдение и подтверждение стабильного состояния полости рта

После лечения команда врачей и службы поддержки клиентов Nha Khoa Đà Nẵng Implant свяжется с пациентом для последующего контроля и будет наблюдать в течение нескольких дней — до одной недели, чтобы убедиться, что зубы и мягкие ткани полностью восстановились и не возникло никаких осложнений. Только после того, как будет подтверждено отсутствие боли, воспаления или инфекции, приступают к следующему этапу — установке керамической коронки.

4. Почему стоит выбрать Da Nang Implant Dental Clinic для установки керамических коронок

Da Nang Implant Dental Clinic — одна из самых авторитетных клиник в Центральном Вьетнаме, специализирующаяся на эстетическом протезировании керамическими коронками и комплексном лечении заболеваний полости рта. Ниже приведены причины, по которым клиенты доверяют нам:

Команда врачей с высокой квалификацией

  • Все врачи клиники окончили факультеты стоматологии ведущих университетов как во Вьетнаме, так и за рубежом.
  • Имеют специализированные сертификаты по протезированию керамическими коронками, эндодонтическому лечению и пародонтологии.
  • Постоянно совершенствуют свои навыки и осваивают новые технологии, чтобы обеспечить наилучшее качество лечения.

Почему необходимо полностью вылечить заболевания полости рта перед установкой зубных коронок?

Современное оборудование и технологии

  • Цифровые рентген-аппараты и 3D CT Cone Beam обеспечивают точную диагностику до мельчайших деталей.
  • Технология CAD/CAM при проектировании и изготовлении керамических коронок обеспечивает идеальную посадку, естественную красоту и отсутствие дискомфорта.
  • Стерилизационная система международного стандарта и отдельные кабинеты для лечения гарантируют максимальную безопасность.

Почему необходимо полностью вылечить заболевания полости рта перед установкой зубных коронок?

Премиальные керамические материалы, оригинальный импорт

  • Виды керамических коронок, доступные в Da Nang Implant Dental Clinic

В Da Nang Implant Dental Clinic мы предлагаем широкий выбор высококачественных керамических коронок, соответствующих различным требованиям по эстетике, функции и стоимости:

    • Коронка Titan: Металлическое основание, высокая прочность, экономичное решение — подходит для жевательных зубов.
    • Керамика Korea: Базовый вид цельной керамики с хорошей эстетикой — используется при множественных реставрациях.
    • Керамика DDBIO: Премиальная цельнокерамическая, естественный цвет, не вызывает потемнения десен.
    • Lava (США): Высокая эстетика и прочность — идеально подходит для протезирования всей челюсти.
    • Emax CAD/CAM: Монолитная стеклокерамика, естественная красота — особенно подходит для передних зубов.
    • Lisi Press: Самая премиальная линия керамики — сочетает прочность и эстетику, максимально похожа на натуральные зубы.
    • Керамические виниры: Сверхтонкие накладки, минимальное обтачивание зубов — улучшают улыбку, сохраняя естественные зубы.
    • Inlay/Onlay/Overlay Emax: Косвенное восстановление, максимально сохраняющее ткани зуба — альтернатива крупным пломбам или сломанным зубам.
ТипЦена (VND)Гарантия на имплант
Neodent (Швейцария)15.000.00010 лет
Euroteknika (Франция)19.000.00015 лет
Nobel (США)29.000.000Пожизненно
Nobel Ti-Ultra (США)39.000.000Пожизненно

 

ТипЦена (VND)Гарантия на имплант
EmaxШлифовка7.000.00010 лет
Без шлифовки8.000.000
Lisi PressШлифовка10.000.00010 лет
Без шлифовки11.000.000
  • Гарантия использования материалов с подтверждённым происхождением и официальной гарантией.
Другие новости

Топ 6 лучших имплантологов в Дананге

Ngày: 20/04/2025

Имплантация — это сложная стоматологическая процедура, требующая высокой ...

Что такое металлические брекеты? Преимущества и недостатки.

Ngày: 20/04/2025

Металлические брекеты — это эффективный метод ортодонтического лечения, ...

Что такое имплантация зубов? Обновлённый прайс-лист.

Ngày: 20/04/2025

Имплантация зубов – ключевая услуга клиники Da Nang Implant В клинике Da Nang Implant ...

Приветствуем Великий праздник – Супервыгодные акции

Ngày: 19/04/2025

В честь празднования и приветствия Дня 30/4 – 1/5, стоматологическая клиника ...

6 этапов установки зубных имплантов от А до Я: сколько времени это занимает и сколько стоит?

Ngày: 19/05/2026

Узнайте подробно о процессе установки зубных имплантов: этапы имплантации, ...

7 ПРИЗНАКОВ ТОГО, ЧТО ВАМ НУЖНО ВОССТАНОВЛЕНИЕ ЗУБОВ КАК МОЖНО РАНЬШЕ, ЧТОБЫ НЕ ПЕРЕПЛАЧИВАТЬ НА 30–50% БОЛЬШЕ В БУДУЩЕМ

Ngày: 14/05/2026

Сколы зубов, потеря зубов, чувствительность или изменение цвета — это ...

Микроскоп MediWorks SM625D — новый шаг в современной эндодонтии в Da Nang Implant Dental Clinic

Ngày: 09/05/2026

Современное эндодонтическое лечение в Da Nang Implant Dental Clinic с использованием ...

Магистр Во Ань Дык – 10 лет Специалист по эндодонтии в Da Nang Implant Dental Clinic

Ngày: 08/05/2026

Современная эндодонтия в Da Nang Implant Dental Clinic с использованием микроскопа MediWorks ...