Porcelain crowns are one of the most popular cosmetic dental methods that help correct dental imperfections such as discoloration, chipping, or mild misalignment, bringing a brighter and more confident smile. However, in many cases, porcelain crowns only look good for the first few months — later they may discolor, cause sensitivity, or chip off, making many people wonder, “Are porcelain crowns really durable?”
In fact, the lifespan of porcelain crowns depends up to 70% on the dentist’s technique and the user’s oral care routine. Let’s explore with Da Nang Implant Dental Clinic the 7 most common mistakes that make porcelain crowns deteriorate quickly, and how to maintain a long-lasting, beautiful smile!

Reasons why porcelain crowns deteriorate quickly
Each type of dental crown has different structures and durability. If you choose the wrong material or one of poor quality, the crown can crack, discolor, or cause gum irritation after a short period.
Solution:
At Da Nang Implant Dental Clinic, the doctor will perform an examination – take X-rays – provide consultation and analyze the tooth and bite structure using 3D CAD/CAM technology before recommending the most suitable type of crown.
The clinic only uses genuine dental crowns (Emax, Lisi Press, Lava, etc.) with warranty, ensuring absolute peace of mind for customers.

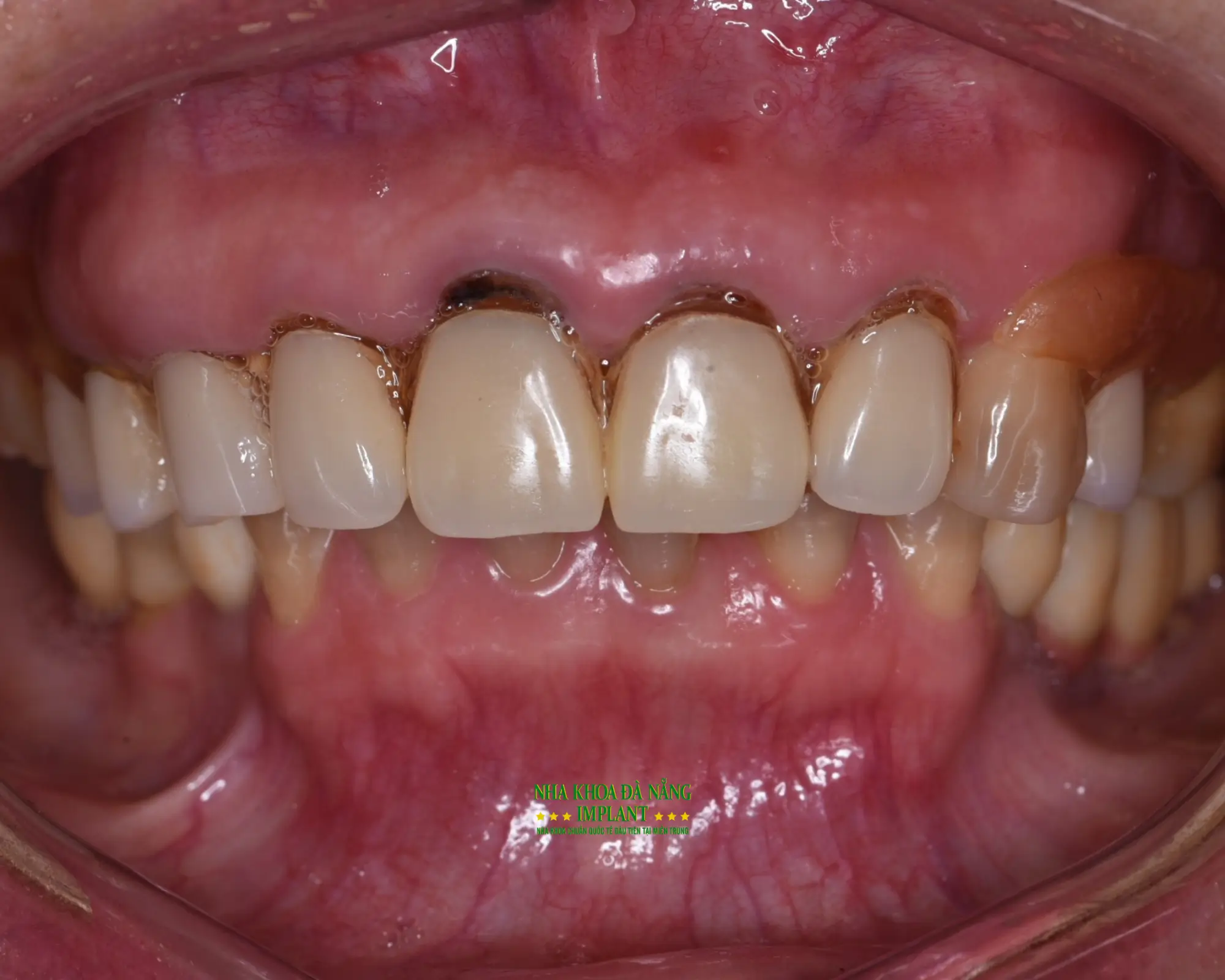
Dental crown treatment at Da Nang Implant Dental Clinic
Although dental crowns do not decay, they can still be damaged if you brush incorrectly, neglect flossing, or do not rinse your mouth properly.
Plaque buildup along the gumline over time can cause gingivitis, bad breath, and gaps at the margin of the crown.
Solution:
Brush your teeth with a soft-bristled toothbrush 2–3 times a day
Use dental floss to clean between teeth
Rinse your mouth with an alcohol-free mouthwash
Have regular check-ups and cleanings every 6 months at Da Nang Implant Dental Clinic

Many people unintentionally use dental crowns to bite ice, bones, hard seeds, or even open bottle caps, which can easily cause the crowns to chip or crack.
Although crowns are harder than natural teeth, they still have a limited tolerance to force.
Solution:
Eat gently, cut hard foods into smaller pieces, and avoid applying excessive force on front teeth or crowned teeth.
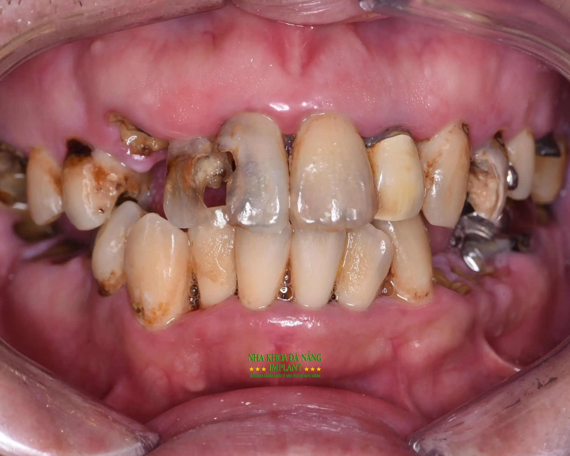
This is one of the main causes of early crown damage. When a dentist grinds teeth at the wrong ratio, fails to ensure the fit of the crown, or uses poor-quality bonding cement, the crown can easily loosen, causing pulp inflammation and prolonged pain.
Solution:
Choose a reputable dental clinic with a team of specialists in prosthetic aesthetics.
At Da Nang Implant Dental Clinic, the entire crown restoration process is performed by doctors who graduated from Hue University of Medicine and Pharmacy, with over 10 years of experience in aesthetic restorations and dental implants.

Regular check-up every 6 months
After crown restoration, many patients neglect follow-up appointments, causing minor issues such as gaps between the crown and gums, gingivitis, or bite misalignment to go unnoticed. This reduces the longevity of the crowns.
Solution:
At Da Nang Implant Dental Clinic, each patient has a personalized electronic record.
The clinic proactively reminds patients of their follow-up visits, cleaning, and polishing schedules to ensure that crowns remain durable and shiny like new.
Many people want their teeth to be “whiter” after getting crowns and use home whitening gels or devices on their own.
In fact, whitening agents only work on natural teeth — they do not brighten dental crowns and may even irritate gums or cause sores.
Solution:
If you wish to improve the color of your dental crowns, visit Da Nang Implant Dental Clinic for professional polishing or replacement when necessary.
If teeth are weak, have pulp inflammation, or severe bite misalignment, placing crowns can quickly damage the natural teeth. This is a common mistake when patients are not given a full examination and proper treatment plan based on medical standards.

Solution:
At Da Nang Implant Dental Clinic, patients receive a comprehensive examination, 3D Cone Beam CT scan, and precise bite analysis before deciding on crown treatment. All underlying dental conditions are thoroughly treated to ensure safety, accuracy, and long-lasting durability.
100% of doctors hold valid professional licenses and graduated from medical universities.
Over 10 years of experience in aesthetic restorations, dental implants, veneer bonding, and endodontic treatment.
Successfully performed thousands of aesthetic crown cases, bringing natural smiles and confidence to patients.

iTero 3D intraoral scanner – simulates the smile and tooth shape before treatment
3D CAD/CAM technology – ensures precise crown fabrication
3D Cone Beam CT scanner & Smile Design software – guarantee perfect bite alignment and aesthetics

Imported crowns from Korea, France, and the USA
Lifetime warranty, depending on the crown type
Natural color and translucency like real teeth – no dullness, no bulkiness, no dark gum line
At Da Nang Implant Dental Clinic, the dental crown process follows international medical standards — safe, precise, and painless — ensuring each patient achieves a natural, harmonious, and long-lasting smile.
Step 1: Examination & Consultation
Specialist dentists perform an examination, take X-rays, and design a 3D smile to create a personalized treatment plan.
Step 2: Oral Cleaning
Remove plaque and treat inflammation or decay before placing crowns.
Step 3: Tooth Preparation
Performed gently using a digital ultrasonic grinding device, preserving maximum natural tooth structure with painless anesthesia.

Dental Crown Procedure at Da Nang Implant Dental Clinic
Step 4: Impression taking / 3D tooth scanning
Using the iTero 3D scanner to capture highly accurate impressions, with data transmitted directly to the laboratory.
Step 5: Crown design & fabrication
Dental crowns are designed using CAD/CAM technology, ensuring natural shape, color, and a perfect fit with real teeth.
Step 6: Crown placement & bite adjustment
The doctor installs the crowns, adjusts the bite, provides an official electronic warranty card, and gives home care instructions.
| Type | Price (VND) | Warranty | |
|---|---|---|---|
| Porcelain Veneer | Emax | 7.000.000 VND | 10 years |
| Lisi Press | 10.000.000 VND | 10 years | |
| Full Porcelain Crown | Korea | 3.000.000 VND | 5 years |
| DDBIO | 5.000.000 VND | 10 years | |
| Lava | 6.000.000 VND | 15 years | |
| Emax | 7.000.000 VND | 10 years | |
| Lisi Press | 10.000.0000 | 10 years | |
| Titanium Porcelain Crown | 1.500.000 VND | 2 years | |
Dental crowns can last from 10–20 years or even longer if they are made with proper technique, the right materials, and cared for correctly.
Don’t let small mistakes make you “start all over again.” Choose a reputable clinic — one that values both your aesthetics and oral health.