Nhiều phụ huynh thắc mắc là trẻ nhỏ thì việc lấy cao răng có thực sự cần thiết không? Bao nhiêu tuổi thì lấy cao răng? Tất cả sẽ được giải đáp trong bài viết dưới đây. Cùng tìm hiểu nhé!
Cũng giống như người lớn, cao răng cũng sẽ hình thành trên khắp bề mặt răng và các kẽ răng của trẻ em. Không những vậy, các bác sĩ nha khoa còn cho biết, tốc độ hình thành cao răng ở trẻ em đôi khi còn nhanh hơn cả người lớn.
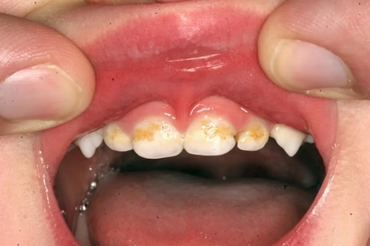
Cao răng sẽ không hề phân biệt độ tuổi và dĩ nhiên không ưu tiên hay bỏ qua bất kỳ đối tượng nào. Ngay khi cao răng được hình thành, chúng sẽ thu hút các loại vi khuẩn và liên tục tạo ra kích ứng lên nướu và lợi. Từ đó có thể dẫn tới các loại bệnh lý răng miệng nguy hiểm cho trẻ.

Cao răng không hề phân biệt độ tuổi hay bỏ qua bất kỳ đối tượng nào
Nếu trẻ bị mắc các bệnh lý về răng miệng sẽ khiến cho trẻ cảm thấy đau nhức, khó chịu và ảnh hưởng tới khả năng thay răng cũng như cấu trúc răng. Do đó việc lấy cao răng là hoàn toàn cần thiết cho trẻ em để phòng tránh bệnh lý răng miệng hiệu quả cho trẻ.
Ở cả người lớn và trẻ em, vôi răng đều hình thành một cách tự nhiên dưới tác động của quá trình ăn uống hằng ngày. Trẻ em là đối tượng thường yêu thích thức ăn ngọt và thời gian ăn uống cũng không nghiêm ngặt. Trong khi đó trẻ em thường có xu hướng vệ sinh răng miệng kém hơn.
>> Xem thêm: Lựa chọn bàn chải đánh răng trẻ em theo độ tuổi
Vụn thức ăn thừa bám trên răng nhưng không được vệ sinh sạch sẽ lâu ngày sẽ hình thành mảng bám trên bề mặt răng, tạo điều kiện cho vi khuẩn trú ngụ. Nếu phụ huynh vì phân vân trẻ em có cần lấy cao răng không, không có cách lấy cao răng trẻ em kịp thời, khiến cao răng tích tụ quá nhiều sẽ tiền đề gây ra nhiều bệnh lý nguy hiểm, đặc biệt là làm hỏng răng sữa còn yếu ở trẻ:

Như vậy có thể thấy sự tồn tại của vôi răng không chỉ mất vệ sinh mà còn kéo theo nhiều hệ lụy với răng sữa trẻ em. Tất cả các bệnh lý răng miệng ở trẻ em đều có thể gây ra tình trạng đau nhức, quấy khóc và chán ăn, ảnh hưởng trực tiếp đến sự phát triển của trẻ. Hơn hết, khi vi khuẩn tấn công gây nên bệnh lý ở răng sữa, sẽ làm rụng các răng sữa sớm khiến răng vĩnh viễn mọc lên sai lệch vị trí, thiếu thẩm mỹ, chức năng ăn nhai bị ảnh hưởng.
Ở độ tuổi từ 2 – 6 hoặc 7 tuổi, răng của trẻ em sẽ thường bị các vấn đề như mảng bám hoặc cao răng nhiều hơn. Phần lớn trẻ em ở độ tuổi này cũng có nhiều nguy cơ bị sâu răng hơn vì chúng thường được làm quen với thức ăn ngọt và lượng đường cao.
Nếu răng của trẻ có nhiều cao răng thì bạn nên xem xét đến các Nha khoa để thực hiện lấy cao răng với kỹ thuật của bác sĩ nha khoa. Lấy cao răng hoàn toàn không có giới hạn độ tuổi cụ thể ngay cả trẻ em. Có thể lấy cao răng ở mọi lứa tuổi, miễn là trẻ em đã mọc răng và răng cần được làm sạch.
Khi đến các cơ sở Nha khoa, trẻ em sẽ được các bác sĩ sẽ tìm hiểu xem có thực sự cần lấy cao răng cho trẻ hay không, và nếu có, sẽ cho quý phụ huynh biết chính xác quá trình này như thế nào và những rủi ro có thể xảy ra. Vì vậy, điều quan trọng là quý phụ huynh phải thường xuyên kiểm tra răng của con mình ngay cả trước khi chúng mọc đầy đủ. Ngoài ra, bạn hoàn toàn có thể bắt đầu đưa trẻ đến Nha khoa khi những chiếc răng đầu tiên bắt đầu nhú ra.

Trước tiên các bác sĩ sẽ xem xét tình trạng sức khỏe và bệnh sử về răng của trẻ
Vôi răng được hình thành liên tục trong quá trình ăn uống, dù là răng vĩnh viễn hay răng sữa. Tư vấn bao lâu nên lấy cao răng cho trẻ một lần, nha sĩ khuyến cao bạn nên duy trì ít nhất 3 – 6 tháng/1 lần. Đối với trẻ em không nên để quá lâu. Vì khi vôi răng tích tụ dày và cứng sẽ khiến khó loại sạch hơn, phải tác động mạnh, dễ làm cho răng trẻ em bị ê buốt và chảy máu.
Để hạn chế việc hình thành mảng bám và vôi răng, phụ huynh nên chú ý đến việc vệ sinh rằng miệng trẻ em hằng ngày.
>> Bạn bên xem: Cách chọn kem đánh răng trẻ em an toàn phụ huynh nên biết
Nha khoa Đà Nẵng Implant là một trong những địa chỉ nha khoa hàng đầu Việt Nam được nhiều người tin tưởng lựa chọn sử dụng dịch vụ lấy cao răng tại Đà Nẵng. Nha khoa áp dụng những công nghệ hàng đầu hiện nay giúp không gây đau đớn, không ê buốt và vô cùng an toàn cho trẻ em.

Nha khoa Đà Nẵng Implant – địa chỉ lấy cao răng uy tín, chuyên nghiệp
Khi điều trị tại Nha khoa Đà Nẵng Implant, các bác sĩ sẽ thực hiện cách lấy cao răng cho trẻ theo một quy trình tiêu chuẩn. Đầu tiên, bác sĩ sẽ thăm khám và ổn định cảm xúc cho trẻ em sau đó sẽ tiến hành tư vấn phương pháp điều trị thích hợp cho phụ huynh và con trẻ. Tiếp đến, các bác sĩ là thực hiện lấy cao răng bằng công nghệ siêu âm, đánh bóng và cuối cùng là hướng dẫn ba mẹ và trẻ chăm sóc răng miệng tại nhà.
Trên đây là một số thông tin Nha khoa Đà Nẵng Implant muốn chia sẻ đến bạn đọc để giải đáp thắc mắc bao nhiêu tuổi thì lấy cao răng? Khách hàng có nhu cầu thực hiện lấy cao răng không đau, hiệu quả; vui lòng liên hệ hotline để đặt lịch thăm khám nhanh nhất!